logo
  • Home
  • Unidades
  • Exames
  • Convênios
  • Novidades
  • Contato
Banner 1
alexania
BANNER MORITA 2
MORITA
ÁREA DO DENTISTA
ÁREA DO DENTISTA
AGENDE SUA CONSULTA
AGENDE SUA CONSULTA

Header Imagem Exames

  • Escaneamento Intraoral Cerec Omnicam
  • Tomografia em 3D - OP300
  • Periapical e Interproximal Digital
  • Documentações Ortodônticas
  • Panorâmica Digital
  • Panorâmica Mapeada Digital
  • Telerradiografia Lateral
  • Análise Idade Óssea Coluna Cervical
  • Oclusal
  • Póstero Anterior Frontal ou Telerradiografia Frontal Digital
  • TOMOGRAFIA COM MORITA X800

ATM - 4 Posições Digital Voltar

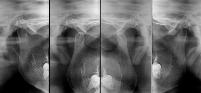
ATM - 4 Posições Digital

Avalia-se o deslocamento dos côndilos, assimetria dos côndilos, fraturas e anomalias condilares. 

Central de Atendimento

Central de Atendimento62 3324-4226

Horário de funcionamento

Seg a Sex: 08h ás 18h Sábado: 08h ás 12h

Saiba como Chegar

Clique Aqui
Center Radio Acompanhe nossas
redes sociais
Este site está protegido pela Lei de Direitos Autorais. (Lei 9610 de 19/02/1998), sua reprodução total ou parcial é proibida nos termos da Lei. Tecnologia Surpresa Propaganda Todos os direitos reservados. Center Radio - 2020